Skip to product information
1 of 1

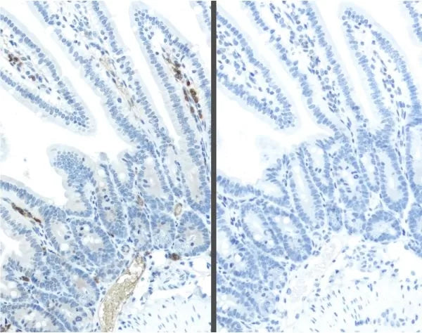
Vector M.O.M. ImmPRESS Kit, Peroxidase

Vector M.O.M. ImmPRESS Kit, Peroxidase

SKU: VECTMP2400
Available Quantity : 0

Product Details

M.O.M. (Mouse on Mouse) ImmPRESS-HRP (Peroxidase) Polymer Kit, 1 Kit, contains Vector Laboratories proprietary M.O.M. Mouse Ig Blocking Reagent paired with a specialized, ready-to-use, one-step M.O.M. ImmPRESS Peroxidase Polymer reagent. The M.O.M. ImmPRESS-HRP Polymer reagent is affinity-purified and specifically optimized for use with the M.O.M. Mouse Ig Blocking Reagent. The highly active peroxidase micropolymers of the ImmPRESS Detection System provide outstanding sensitivity, limit steric interference, and enhance accessibility. Excellent staining results for a once difficult application have now become routine with the Vector M.O.M. System.

Shipping calculated at checkout.
Sales Unit: KIT

View full details
Description
Specifications
Documents
Literature & Videos
Sales Unit KIT

Need Product Assistance?

Our experts are here to help! Contact us for technical support, product recommendations, or order assistance.

Contact Us